TRẠM Y TẾ PHƯỜNG TÂN BÌNH
12 Tân Hải, Phường Tân Bình, TP. HCM
HOTLINE
  • 096.777.1010
    Đường dây nóng Sở Y tế TP. HCM
  • 0765.799.565
    Đường dây nóng TTYT
  • 0916.612.969
    Trần Thị Thủy Cúc - Phó Giám đốc
  • 0909.778.175
    Phan Văn Chính - Trưởng phòng Kế hoạch Nghiệp vụ
  • 0968.166.980
    Lê Thị Châu An - Trưởng khoa Kiểm soát bệnh tật
  • 0973.075.379
    Đinh Thị Thu Thảo - TYT Phường Tân Sơn Nhất
  • 0935.606.969
    Trần Đình Khâm - TYT Phường Tân Hòa
  • 0975.460.615
    Trần Thị Thuý Trình- TYT Phường Tân Sơn Hòa
  • 0909.177.196
    Võ Trung Thành - TYT Phường Bảy Hiền
  • 0909.761.710
    Nguyễn Thu Thủy - TYT Phường Tân Bình
  • 0908.556.955
    Nguyễn Thị Khánh Chi- TYT Phường Tân Sơn
  • Tiếng Việt
  • English
  • Trang chủ
  • Giới thiệu
  • Dịch vụ-Phòng Khám đa khoa
    • Xét nghiệm
      • Xét nghiệm máu, nước tiểu, lao
      • Xét nghiệm vi sinh nước
      • Xét nghiệm COVID-19
      • Xét nghiệm theo thông tư 14/2020/TT-BYT
    • Chẩn đoán hình ảnh
      • X-quang
      • Siêu âm
    • Tập huấn
      • Tập huấn kiến thức ATTP
      • Tập huấn sơ cấp cứu
    • Phòng Khám đa khoa - Trung tâm Y tế
      • Giới thiệu về Phòng Khám đa khoa
      • Khám sức khỏe
      • Tiêm chủng dịch vụ
      • Khám, Chữa bệnh
        • Cấp cứu
        • Nội khoa
        • Ngoại khoa
        • Nha khoa
        • Da liễu
        • Sản phụ khoa
        • Y học cổ truyền
        • Bảng giá Khám, chữa bệnh
      • Văn bản chuyên môn
  • Thông tin–Sức khoẻ
    • Vấn đề sức khoẻ
      • Bệnh truyền nhiễm
        • COVID-19
        • Sốt xuất huyết - Chikungunya
        • Đậu mùa khỉ
        • Tay chân miệng
        • Bệnh truyền nhiễm khác
        • Tư vấn, điều trị nghiện chất và HIV/AIDS
        • Sởi
      • Bệnh không lây nhiễm
        • Ung thư
        • Tim mạch
        • Bệnh phổi tắc nghẽn mạn tính
        • Đái tháo đường
        • Bệnh khác
      • Tiêm chủng mở rộng
      • An toàn thực phẩm
      • Vệ sinh môi trường
      • Phòng chống tác hại thuốc lá, rượu bia
      • Chăm sóc sức khỏe người cao tuổi
      • Y tế trường học
      • Dân số & Phát triển
    • Tin hoạt động
    • Tin văn bản
    • Thông báo
    • Không gian văn hoá Hồ Chí Minh
      • Văn bản chỉ đạo, Kế hoạch thực hiện
      • Hành trình theo chân Bác
      • Học tập tấm gương đạo đức Hồ Chí Minh
      • Triển lãm ảnh "Hồ Chí Minh đẹp nhất tên người"
      • Triển lãm các tác phẩm của Bác
      • Bác Hồ với ngành y tế
      • Ngày này năm ấy
      • Tuyên giáo - Dân vận
      • Gương điển hình
    • Phổ biến pháp luật
      • Văn bản, quy phạm pháp luật
      • Ngày pháp luật
      • 5 phút với pháp luật
    • Tin Đảng - đoàn thể
      • Văn bản Đảng
      • Văn bản Công đoàn - Đoàn thể
    • Thông tin từ Sở Y tế
    • Thư viện Video
    • Kiến thức sức khỏe
    • Hỏi - Đáp
  • Hành chính
    • Cải cách hành chính
      • Bạn hỏi hay - Trung tâm Y tế trả lời ngay
      • Văn bản
    • Phòng, chống tham nhũng
    • Cơ hội nghề nghiệp
    • Phòng cháy, chữa cháy
  • Lịch công tác tuần
  • Công khai
    • Công khai tài chính
    • Lịch tiếp công dân
    • Thông tin đấu thầu
      • Cơ sở vật chất
      • Trang thiết bị y tế
      • Vật tư - Hoá chất (XN - TTBYT)
      • Trang thiết bị văn phòng
      • Thuốc
      • Khác
    • Công khai khác
  • Văn bản cấp trên
    • Văn bản cấp trên khác
    • Chuyên môn
    • Nghị định, Thông tư
  • Liên hệ
  1. Trang chủ
  2. Thông tin–Sức khoẻ

Thông tin–Sức khoẻ

  • Vấn đề sức khoẻ
  • Tin hoạt động
  • Tin văn bản
  • Thông báo
  • Không gian văn hoá Hồ Chí Minh
  • Phổ biến pháp luật
  • Tin Đảng - đoàn thể
  • Thông tin từ Sở Y tế
  • Thư viện Video
  • Tin Y tế
  • Kiến thức sức khỏe
  • Chương trình sức khỏe
  • Hỏi - Đáp
Quyết định ban hành tiêu chí và quy trình kiểm định an toàn và tính năng kỹ thuật Máy thận nhân tạo dùng trong điều trị người bệnh
08:56 - Thứ Năm 21/12/2023

Quyết định ban hành tiêu chí và quy trình kiểm định an toàn và tính năng kỹ thuật Máy thận nhân tạo dùng trong điều trị người bệnh

xem chi tiết
Quyết định ban hành tiêu chí và quy trình kiểm định an toàn và tính năng kỹ thuật Máy gây mê kèm thở dùng trong điều trị người bệnh
08:53 - Thứ Năm 21/12/2023

Quyết định ban hành tiêu chí và quy trình kiểm định an toàn và tính năng kỹ thuật Máy gây mê kèm thở dùng trong điều trị người bệnh

Quyết định ban hành tiêu chí và quy trình kiểm định an toàn và tính năng kỹ thuật Dao mổ điện cao tần dùng trong điều trị người bệnh
08:50 - Thứ Năm 21/12/2023

Quyết định ban hành tiêu chí và quy trình kiểm định an toàn và tính năng kỹ thuật Dao mổ điện cao tần dùng trong điều trị người bệnh

08:42 - Thứ Năm 21/12/2023

Quyết định ban hành tiêu chí và quy trình kiểm định an toàn và tính năng kỹ thuật Máy thở dùng trong điều trị người bệnh

14:46 - Thứ Tư 20/12/2023

Tình hình dịch bệnh truyền nhiễm trên địa bàn quận Tân Bình tính đến tuần 50/2023

10:37 - Thứ Tư 20/12/2023

Chủ động trong mọi việc

08:42 - Thứ Tư 20/12/2023

Quý 2/2024, dự kiến trẻ em ở nước ta sẽ được uống miễn phí vaccine phòng bệnh rotavirus

07:48 - Thứ Tư 20/12/2023

Sở Y tế TPHCM: Sẵn sàng tiêm vắc xin DPT-VGB-Hib cho trẻ em ngay khi nhận được phân bổ nguồn vắc xin từ Bộ Y tế

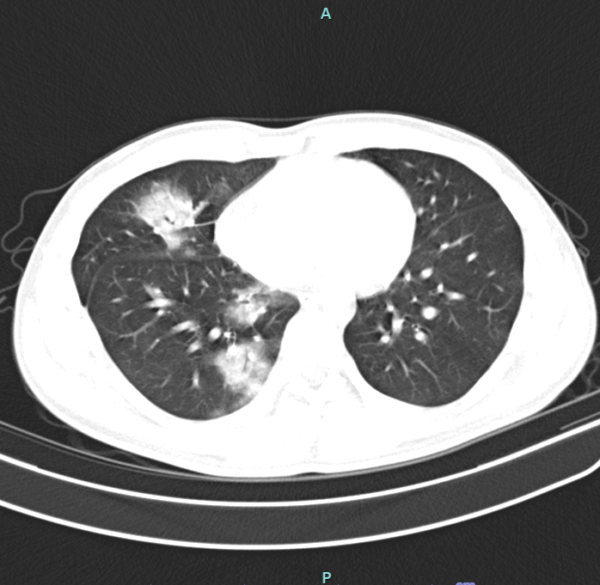
Phổi của nam sinh 16 tuổi như người già vì hút thuốc lá điện tử
16:12 - Thứ Ba 19/12/2023

Phổi của nam sinh 16 tuổi như người già vì hút thuốc lá điện tử

HCDC - Cách nhân viên y tế giải quyết những áp lực công việc và gia đình?
08:28 - Thứ Ba 19/12/2023

HCDC - Cách nhân viên y tế giải quyết những áp lực công việc và gia đình?

16 thông điệp truyền thông phòng chống dịch bệnh của Bộ Y tế
15:57 - Thứ Hai 18/12/2023

16 thông điệp truyền thông phòng chống dịch bệnh của Bộ Y tế

Tháng hành động quốc gia về dân số và Ngày Dân số Việt Nam 26/12/2023
11:13 - Thứ Hai 18/12/2023

Tháng hành động quốc gia về dân số và Ngày Dân số Việt Nam 26/12/2023

  • «
  • ‹
  • 30
  • 70
  • 100
  • 130
  • 132
  • 133
  • 134
  • 135
  • 136
  • 137
  • 138
  • 139
  • 140
  • 141
  • 142
  • 160
  • ›
  • »

TRẠM Y TẾ PHƯỜNG TÂN BÌNH

THÔNG TIN LIÊN HỆ

  1. Địa chỉ: 12 Tân Hải, Phường Tân Bình, TP. Hồ Chí Minh
  2. Điện thoại: (028). 38. 125.207 / (028). 38. 125.208
  3.               Hotline: 0765.799.565
  4. Email: ttytdp.tanbinh@tphcm.gov.vn

KẾT NỐI MẠNG XÃ HỘI

alt

DỊCH VỤ TẠI PHÒNG KHÁM ĐA KHOA

  • Xét nghiệm
  • Chẩn đoán hình ảnh
  • Tập huấn

LIÊN KẾT NHANH

  • Giới thiệu
  • Liên hệ
  • Tổng lượt truy cập:

    18074

  • Hôm nay 12/02/2026:

    1741

  • Hôm qua:

    10894

  • Tuần:

    72346

  • Tháng:

    297675

© 2022 Trạm Y Tế Phường Tân Bình.
Thiết kế website bởi Cánh Cam
  • Sơ đồ trang web.
  • Chính sách bảo mật.